ACORE MSK – December 2021 recorded. pptx
FEVER: The Flexed Elbow Valgus External Rotation View for MRI Evaluation of the Ulnar Collateral Ligament in Throwing Athletes—A Pilot Study in Major League Baseball Pitchers
Pamela Lund, MD, Gary L. Waslewski, MD, Ken Crenshaw, BS, Mari Schenk, MD, Graham Munday, BS, Thomas Knoblauch, MS, Alan Rodriguez, MD and Travis Snyder, DO
https://www.ajronline.org/doi/10.2214/AJR.21.25608
Background: Ulnar collateral ligament (UCL) injuries are common in throwing athletes owing to repetitive extreme valgus stress during overhead throwing maneuvers. Conventional positioning for elbow MRI provides suboptimal rendering of the UCL.
Questions:
- What is the effect of flexed elbow valgus external rotation (FEVER) on ulnotrochlear joint space measurement?
- What is the effect on diagnostic confidence of UCL abnormalities when the FEVER view is incorporated into standard elbow MRI of throwing athletes?
Design: Prospective study
Participants: A total of 44 Major League Baseball pitchers underwent elbow MRI including standard sequences and a coronal fat-saturated proton density–weighted sequence in the FEVER view.
Exclusion criteria: Among 52 potentially eligible patients, five were excluded owing to age younger than 18 years and three because they chose not to participate. No patient was excluded because of body habitus.
Methods: To achieve the FEVER view, specific positioning maneuvers are performed, and sandbags are placed to immobilize the elbow in valgus stress so that the UCL can be visualized parallel to its long axis. Patients recorded pain during FEVER on a scale of 0 (none) to 10 (maximal). Two radiologists independently evaluated standard and FEVER images to measure the ulnotrochlear joint space, assess confidence in UCL-related findings, and assess the UCL as normal or abnormal.
Main Results: The FEVER view, compared with standard view, yielded increased ulnotrochlear joint space width (mean increase, 1.80 mm) and increased confidence for three of five UCL-related findings (mean increase, −0.14 to 0.98); two readers identified three and two additional UCLs as abnormal with FEVER.

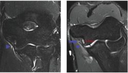
20-year-old male pitcher with acute medial elbow pain after pitching.
A, Coronal standard (A) and flexed elbow valgus external rotation (FEVER) (B) MR images show low-grade partial ulnar collateral ligament tear (arrow, B), which is more evident on FEVER image. Periligamentous edema (arrowhead) is evident in both views. FEVER view shows mild ulnotrochlear joint space widening to 4.3 mm (black line, B).
Conclusion: The increased joint space width confirmed elbow valgus stress in the FEVER view. Diagnostic confidence increased, and additional UCLs were identified as abnormal. Use of the FEVER view may improve MRI evaluation of the UCL in throwing athletes.

Senior editor comments: Very interesting work. While US with valgus stress has been found to be useful for finding the joint space widening and the space can be assessed under stress in fluoroscopy, this positioning in MRI appears to be novel way to evaluate UCL. However, missing piece is 3D imaging, which is much better than all 2D techniques for assessment of integrity of the ligament and doesn’t require special positioning. Above all, what remains to be seen is whether detection of such small tears would change the management or outcomes of such patients. It is well-known that pitchers and high performance athletes have asymptomatic partial tears of UCL as well.
Lateral Meniscus Posterior Root Injury: MRI Findings in Children With Anterior Cruciate Ligament Tear
Jie C. Nguyen, MD, MS, Soroush Baghdadi, MD, J. Todd R. Lawrence, MD, PhD, Alyssa Sze, BA, Andressa Guariento, MD, Theodore J. Ganley, MD and Ann M. Johnson, MD
https://www.ajronline.org/doi/full/10.2214/AJR.21.25554
Background: Undiagnosed and unrepaired root tears are increasingly recognized as a preventable cause of accelerated osteoarthritis. Preoperative MRI findings of lateral meniscus posterior root tears in children with concomitant anterior cruciate ligament (ACL) injury are not well described.
Question: How effective is preoperative MRI in identifying concomitant lateral meniscus posterior root injuries in pediatric patients with ACL tears?
Design: Retrospective study
Participants: 90 children, who were stratified into two groups as follows: 39 children with arthroscopically confirmed concomitant tears of the lateral meniscus posterior root and 51 children with an arthroscopically confirmed intact lateral meniscus posterior root.
Exclusion criteria: Prior ACL reconstruction or instrumentation, preoperative MRI examination performed more than 90 days before arthroscopy, 19 years old or older at arthroscopy, arthroscopic report not explicitly describing the integrity of the lateral meniscus posterior root, and incomplete or motion-degraded MRI examination. Ten patients with intact meniscal roots who were younger than 11 years were also excluded because no patient with a torn root was younger than 11 years.
Methods: Consecutively registered children who underwent MRI within 90 days before arthroscopic primary ACL reconstruction between March 2017 and December 2019 were included. Two radiologists assessed MRI examinations for direct signs involving the root proper and for findings associated with lateral meniscus posterior root tears. Findings in patients with root tears and intact roots were compared by independent-samples t test, Mann-Whitney U test, chi-square test, Fisher exact test, and multivariable logistic regression analysis.
Main Results: The only independent MRI predictor of lateral meniscus posterior root tear in children undergoing ACL repair was tear involving any segment of the root proper (OR, 15.8; p = .003; PPV, 82%; NPV, 79%); coronal cleft, sagittal ghost, and axial radial defect had 88–94% specificity but 23–49% sensitivity.
Conclusion: Among MRI findings evaluated for preoperative diagnosis of lateral meniscus posterior root tear, tear involving any segment of the root proper had the strongest performance; associated findings had high specificity but low sensitivity. Accurate identification of lateral meniscus posterior root tears on preoperative MRI can aid in operative planning and reduce treatment delay.
Senior editor comments: In our practice, Laprade classification is used for the description of posterior root tears and the tears vary from radial tear to oblique or bucket handle tear extending into the root. Thus, evaluating it for specific type of tear and describing as per Laprade class is more important. It is incredibly common to have partial posterior horn or root tear with ACL injury and this site is commonly explored in surgery during the reconstruction.
Impact of Patient-Reported Symptom Information on Agreement in the MRI Diagnosis of Presumptive Lumbar Spine Pain Generator
Rene Balza, MD, Sarah F. Mercaldo, PhD, Connie Y. Chang, MD, Ambrose J. Huang, MD, Jad S. Husseini, MD, Arvin B. Kheterpal, MD, F. Joseph Simeone, MD and William E. Palmer, MD
https://www.ajronline.org/doi/full/10.2214/AJR.20.25210
Background: Lumbar spine MRI is associated with a high prevalence of interpretive errors by radiologists. Treating physicians can obtain symptom information, correlate symptoms with MRI findings, and distinguish presumptive pain generators from incidental abnormalities. The purpose of this study was to capture symptom information using a patient questionnaire, review lumbar spine MRI examinations with and without symptom information, diagnose pain generators, and compare MRI diagnoses with clinical reference diagnoses.
Questions: Can patient-reported symptom information from a brief questionnaire be correlated with MRI findings to distinguish presumptive pain generators from incidental abnormalities?
Design: Prospective cross sectional study.
Participants: 120 participants (70 men and 50 women; median age, 64 years; interquartile range, 49.5–74 years) were recruited from patients referred for lumbar spine injections between February and June 2019.
Exclusion criteria: Lumbar spine MRI performed more than 12 months before the injection; instrumented fusion hardware of the lumbar spine; additional lumbar spine injection occurring within the prior 2 months; or an inadequate MRI examination (e.g., MRI with a missing sequence or motion artifact).
Methods: Participants completed electronic questionnaires regarding their symptoms before receiving the injections. For three research arms, six radiologists diagnosed pain generators in MRI studies reviewed with symptom information from questionnaires, MRI studies reviewed without symptom information, and MRI reports. Inter-reader agreement was analyzed. Blinded to the questionnaire results, the radiologists who performed injections obtained patient histories, correlated symptoms with MRI findings, and diagnosed presumptive pain generators. These diagnoses served as clinical reference standards. Pain generators were categorized by type, level, and side and were compared using kappa statistics. Diagnostic certainty was recorded using numeric values (0–100) and was compared using Wilcoxon rank-sum test.
Main Results: Radiologists’ agreement on reference diagnoses for presumptive pain generator type, level, and side on lumbar spine MRI was almost perfect with symptom information (κ = 0.82–0.90) versus fair to moderate without it (κ = 0.28–0.51) (p < .001). Inter-reader agreement was almost perfect with symptoms (κ = 0.82–0.90) versus moderate without symptoms (κ = 0.42–0.56) (p < .001).
Conclusion: In lumbar spine MRI, presumptive pain generators diagnosed using symptom information from electronic questionnaires showed almost perfect agreement with pain generators diagnosed using symptom information from direct patient interviews. Patient-reported symptom information from a brief questionnaire can be correlated with MRI findings to distinguish presumptive pain generators from incidental abnormalities.

Senior editor comments: Correlating symptoms of pain with MRI findings is challenging. In our practice and as has been reported in NEJM, MRI findings frequently do not correlate with pain and limb dysfunction in adults due to common findings of multilevel degenerative changes. Patients presenting for pain injections may have specific sites of lesions on MRI contributing to better correlations in this study. MR neurography has also been shown to be much better than regular MRI due to detection of downstream nerve lesions as well.
Diagnostic Benefit of MRI for Exclusion of Ligamentous Injury in Patients with Lateral Atlantodental Interval Asymmetry at Initial Trauma CT
Christoph H. Endler, MD, Daniel Ginzburg, MD, Alexander Isaak, MD, Anton Faron, MD, Narine Mesropyan, MD, Daniel Kuetting, MD, Claus C. Pieper, MD, Patrick A. Kupczyk, MD, Ulrike I. Attenberger, MD, Julian A. Luetkens, MD
https://pubs.rsna.org/doi/full/10.1148/radiol.2021204187
Radiology
Background: Cervical spine CT is regularly performed to exclude cervical spine injury during the initial evaluation of trauma patients. Patients with asymmetry of the lateral atlantodental interval (LADI) often undergo subsequent MRI to rule out ligamentous injuries. The clinical relevance of an asymmetric LADI and the benefit of additional MRI remain unclear.
Question: What is the diagnostic benefit of additional MRI in patients with blunt trauma who have asymmetry of the LADI and no other cervical injuries?
Design: Retrospective study.
Participants: 46 patients with asymmetry of the LADI as the only radiologic sign of potential pathologic abnormality at CT were included
Exclusion criteria:
(a) no LADI asymmetry at CSCT,
(b) pathologic findings at CSCT,
(c) previous cervical surgery, or
(d) no additional MRI performed.
Materials and Methods: Patients who underwent cervical spine CT during initial trauma evaluation between March 2017 and August 2019 were retrospectively evaluated. Those who underwent subsequent MRI because of LADI asymmetry of 1 mm or greater with no other signs of cervical injury were identified and reevaluated by two readers blinded to clinical data and initial study reports regarding possible ligamentous injuries.
Main Results:
- In a retrospective study of 1553 trauma patients, 146 (9%) showed lateral atlantodental interval (LADI) asymmetry of 1 mm or greater, with no correlation to head rotation or lateral head tilt.
- Two of 46 patients (4%) with LADI asymmetry and lack of proven cervical injury at CT showed alar ligament injury at MRI and were symptomatic.
- Normal-variant signal intensity alterations of the alar ligaments were misinterpreted as ligamentous injury in asymptomatic patients, resulting in unnecessary treatment.

(A) Coronal noncontrast CT reconstruction in a 57-year-old man with complete rupture of the right alar ligament with lateral atlantodental interval asymmetry. (B–D) Coronal (B), transverse (C), and sagittal (D) noncontrast T2-weighted mDIXON turbo spin-echo MRI scans show rupture. Arrow indicates the ruptured right alar ligament; arrowhead in B and C shows the intact left alar ligament. Note the missing right alar ligament on sagittal plane (* in D). (E) Sagittal noncontrast T2-weighted mDIXON turbo spin-echo MRI scan on left side clearly shows the ligament (arrowhead). (F) Same image as in B. Dashed lines show position of the sagittal planes.
Conclusion: Subsequent MRI following CT of the cervical spine in trauma patients with lateral atlantodental interval asymmetry may have diagnostic benefit only in symptomatic patients. In asymptomatic patients without proven cervical injuries, subsequent MRI showed no diagnostic benefit and may even lead to overtreatment.
Senior editor comments: These are exactly the kind of studies, which can help reduce unnecessary MRIs and add to body of knowledge in trauma imaging domain. Thank you for excellent work!
Diagnostic Performance of Dual-Energy CT for Detecting Painful Hip Prosthesis Loosening
Giovanni Foti, MD, Alessandro Fighera, MD, Antonio Campacci, MD, Simone Natali, MD, Massimo Guerriero, PhD, Claudio Zorzi, MD, Giovanni Carbognin, MD
https://pubs.rsna.org/doi/full/10.1148/radiol.2021203510
Radiology
Background: Revisions of hip prostheses are increasing, and conventional radiography (CR) is a primary tool for managing complications. However, dual-energy CT (DECT) with virtual monoenergetic imaging is capable of reducing periprosthetic metal artifacts compared with standard CT.
Question: What is the diagnostic performance of DECT in detecting hip prosthesis loosening when compared to CR?
Design: Retrospective study
Participants: Overall, 178 patients (mean age ± standard deviation, 74 years ± 20; 96 men) were included (121 undergoing surgery, 57 follow-up).
Exclusion criteria: Concomitant oncologic disease, lack of DECT scan, lack of surgical confirmation of prosthesis loosening, and intraoperative signs of an infected implant.
Methods: This retrospective single-center study conducted between January 2018 and October 2020 included consecutive patients with unilateral painful hip prostheses. Two independent readers who were blinded to clinical findings evaluated CR and DECT images. At imaging, diagnosis of loosening prosthesis was made for periprosthetic radiolucency greater than or equal to 2 mm wide or the presence of two or more secondary findings, including periprosthetic osteolysis, angulation of the implant, fracture, or abnormal periosteal reaction. For each reader and for each imaging parameter, sensitivity and specificity were calculated. The diagnostic performance of each imaging tool was compared by using the McNemar test. Interobserver agreements were calculated with Cohen κ statistics. Statistical software was used.
Main Results:
- Among 178 patients with unilateral painful hip prostheses examined by using dual-energy CT (DECT) and conventional radiography (CR), 87 (49%) had a loosened prosthesis.
- A periprosthetic gap of 2 mm or greater (P < .001) was associated with a loosened prosthesis.
- DECT had higher sensitivity and specificity than CR, with better interobserver agreement for DECT (κ, 0.88 vs 0.78): reader 1 had a sensitivity of 94% and specificity of 93% with DECT versus 84% and 91% with CR (P < .001), and reader 2 had a sensitivity of 92% and specificity of 94% with DECT versus 80% and 91% with CR (P = .001).

Images in a 65-year-old man with left femoral stem loosening hip implant at surgical revision. Coronal (A) and axial (B) reconstructed 1-mm noncontrast dual-energy CT monoenergetic imaging plus application scans show the presence of a large radiolucency between the lateral aspect of femoral stem and the greater trochanter (arrow). (C, D) On the corresponding anteroposterior radiographs, the periprosthetic radiolucency (arrow) was missed by both readers.
Conclusion: Dual-energy CT showed better diagnostic performance than conventional radiography in diagnosing hip prosthesis loosening.
Senior editor comments: DECT reduces metal artifacts, and it is an interesting work to show its value in prosthetic implant imaging. It would have been nicer to show comparison with conventional CT imaging. We are already aware that CT is better than radiographs for metal related complications. Revision arthroplasties or modular steel components are still challenging to evaluate, even on DECT. Photon counting CT might be a better technique to use in future.
Water-Fat Separation in MR Fingerprinting for Quantitative Monitoring of the Skeletal Muscle in Neuromuscular Disorders
Benjamin Marty, PhD, Harmen Reyngoudt, PhD, Jean-Marc Boisserie, BSc, Julien Le Louër, BSc, Ericky C. A. Araujo, PhD, Yves Fromes, MD, PhD, Pierre G. Carlier, MD, PhD.
https://pubs.rsna.org/doi/10.1148/radiol.2021204028
Radiology
Background: Quantitative MRI is increasingly proposed in clinical trials related to neuromuscular disorders (NMDs). MR fingerprinting, which is based on fast gradient echo trains, has been proposed for multiparametric MRI and could tackle the limitations of MSE imaging. However, the accuracy and precision of these sequences to T2 are reduced compared with T1, especially when water-fat separation is applied. Yet, there is strong evidence that muscle water T1 increases in parallel with water T2 when water accumulates in the intra- or extracellular compartments in different pathophysiologic contexts.
Questions: What is the potential of an MR fingerprinting sequence for water and fat fraction (FF) quantification (MRF T1-FF) for providing markers of fatty replacement and disease activity in patients with NMDs?
What is the sensitivity of water T1 as a marker of disease activity compared with water T2 mapping?
Design: Retrospective study
Participants: A total of 73 patients (mean age 6 standard deviation, 47 years 6 12; 45 women) and 15 healthy volunteers (mean age, 33 years 6 8; three women) were evaluated.
Inclusion criteria: We included consecutive patients who underwent an MRI examination where fat-suppressed T2-weighted imaging and water T2, FF, and water T1 mapping (obtained with use of MRF T1-FF) were performed in the legs without any exclusion criteria.
Materials and Methods: Data acquired between March 2018 and March 2020 from the legs of patients with NMDs were retrospectively analyzed. The MRI examination comprised fat-suppressed T2-weighted imaging, mapping of the FF measured with the threepoint Dixon technique (FFDixon), water T2 mapping, and MRF T1-FF, from which the FF measured with MRF T1-FF (FFMRF) and water T1 were derived. Data from the legs of healthy volunteers were prospectively acquired between January and July 2020 to derive abnormality thresholds for FF, water T2, and water T1 values. Kruskal-Wallis tests and receiver operating characteristic curve analysis were performed, and linear models were used.
Results:
- Using retrospective data from 73 patients with neuromuscular disorders and prospective data from 15 healthy volunteers, fat fractions (FFs) quantified with MR fingerprinting agreed with those quantified with the reference, the three-point Dixon technique (R2 = 0.97, P < .001).
- Water T1 and T2 metrics were correlated, adjusting for sex, age, and FF (P < .001).
- Water T1 classified patients’ muscles as abnormal based on water T2, with high sensitivity and specificity (area under the receiver operating characteristic curve, 0.92 [95% CI: 0.83, 0.97]; P < .001).
Conclusion: Water-fat separation in MR fingerprinting is robust for deriving quantitative imaging markers of intramuscular fatty replacement and disease activity in patients with neuromuscular disorders.
Senior editor comments: Excellent work! Simple STIR imaging detects edema of the muscles, even in off-center areas of the magnet, and fatty change is easily seen on T1W images. Dixon imaging and now MR finger printing has been found to be useful for quantification of water and fat fraction. More work needs to be done to assess if such quantitative measures can help predict patient outcomes or prognosis.
MRI Signal Intensity of Quadriceps Tendon Autograft and Hamstring Tendon Autograft 1 Year After Anterior Cruciate Ligament Reconstruction in Adolescent Athletes
Alexandra H. Aitchison, BS, David Alcoloumbre, MD, Douglas N. Mintz, MD,
Sofia Hidalgo Perea, BS, Joseph T. Nguyen, MPH, Frank A. Cordasco, MD, MS, Daniel W. Green, MD, MS
The American Journal of Sports Medicine
Background: Hamstring tendon autograft (HTA) is a common graft choice for anterior cruciate ligament (ACL) reconstruction (ACLR) in skeletally immature patients. Recently, the use of quadriceps tendon autograft (QTA) has shown superior preliminary outcomes in this population.
Question: Can magnetic resonance imaging (MRI) signal intensity of HTA and QTA used in primary ACLR be helpful in evaluating graft maturity?
Design: Cohort study; Level of evidence, 3.
Participants: A total of 70 skeletally immature patients (37 in the HTA group and 33 in the QTA group) with an available MRI at 6 and 12 months postoperatively were included.
Exclusion criteria:
Methods: All patients under the age of 18 years who underwent a primary ACLR by the senior authors using either an HTA or a QTA were retrospectively reviewed. A total of 70 skeletally immature patients (37 in the HTA group and 33 in the QTA group) with an available MRI at 6 and 12 months postoperatively were included. Signal intensity ratio (SIR) was measured on sagittal MRI by averaging the signal at 3 regions of interest along the ACL graft and dividing by the signal of the tibial footprint of the posterior cruciate ligament. Statistical analysis was performed to determine interrater reliability and differences between time points and groups.
Main Results: Age, sex, and type of surgery were not associated with any differences in SIR. There was no significant difference in SIR between groups on the 6-month MRI. However, the SIR of the QTA group was significantly less than in the HTA group on the 12-month MRI. Within the HTA group, there was no significant difference in SIR at either MRI time point. In the QTA group, there was a significant decrease in SIR between the 6-month and 12-month postoperative MRI.

(A) Sagittal MRI 6 months after ACLR with HTA. (B) Sagittal MRI 12 months after ACLR with HTA (same patient as in panel A). (C) Sagittal MRI 6 months after ACLR with QTA. (D) Sagittal MRI 12 months after ACLR with QTA (same patient as in panel C). ACLR, anterior cruciate ligament reconstruction; HTA, hamstring tendon autograft; MRI, magnetic resonance imaging; QTA, quadriceps tendon autograft.
Conclusion: These findings suggest improved graft maturation, remodeling, and structural integrity of the QTA compared with the HTA between 6 and 12 months postoperatively. This provides evidence that, at 1 year postoperatively, QTA may have a superior rate of incorporation and synovialization as compared with the HTA.
Senior editor comments: Interesting work. I am not sure if SIR is much of use at 1 year as the grafts may take up to 18-24 months to mature, and the hamstring grafts are multilayered frequently. The image contrasts and possibly the parameters used for acquisition do not appear to be the same on f/up imaging as demonstrated on the images presented. It would be more prudent to compare to the functional scores and failure rates in mid- to longer-terms for meaningful comparisons on the strength and longevity of the types of grafts.
The diagnostic performance of MRI signs to distinguish Pectoralis major tendon avulsions from Myotendinous injuries
Jonathan C. Baker, Rafael A. Pacheco, Danesh Bansal, Veer A. Shah & David A. Rubin
https://link.springer.com/article/10.1007/s00256-021-03794-9
Skeletal Radiology
Background: Management of pectoralis major (PM) injuries is largely determined by the anatomic location of the injury, with tendon avulsions from the humerus requiring surgery while myotendinous (MT) injuries are typically managed non-operatively. Because physical examination cannot reliably make this distinction, MRI is often used for staging. However, correct classification can also be difficult with MRI where there is extensive soft tissue edema and distorted anatomy.
Objective: How accurate is the secondary MRI signs of PM injury for distinguishing tendon avulsions from MT injuries?
Design: Retrospective study
Participants: 17 patients with PM injury (including 12 acute injuries, 4 chronic, and 1 of uncertain age) were included for whom subsequent surgery documented tendon avulsion (11) and MT injuries (6).
Methods: In this retrospective study, 3 blinded observers independently assessed the MRI findings of 17 patients with PM injury (including 12 acute injuries, 4 chronic, and 1 of uncertain age) where subsequent surgery documented tendon avulsion (11) and MT injuries (6) by applying the primary MRI criteria of absent tendon at the humerus, retracted tendon stump, epicenter of edema, and the secondary finding of soft tissue edema contacting the anterior humeral cortex. Operative findings were used as the reference standard. Sensitivity, specificity, and positive and negative predictive value were recorded for each finding.
Main Results: The primary MRI finding of lack of a visible tendon at the insertion (sensitivity 82–100%, specificity 100%) and the secondary finding of edema contacting the anterior humeral cortex (sensitivity 64–91%, specificity 67–100%) were both useful for the distinction of tendon avulsion from MT injury, particularly in acute injuries. The presence of a retracted tendon stump and the epicenter of edema were not reliable findings. The use of a decision tree including the secondary finding of humeral edema increased the sensitivity and specificity for 2 of the 3 observers.
Conclusion: MRI assessment of PM injury focused on the humeral insertion of the PM tendon allows accurate distinction of tendon avulsion from MT injury.
This study describes a practical approach to classifying PM injuries with MRI to distinguish injuries that require surgery from those that can potentially be managed conservatively.
Senior editor comments: Interesting work on the uncommonly imaged tendon. The results can be used for practical works. Our surgeons also inquire about high-grade partial versus low-grade tears for management purposes. That could be evaluated in future works.
References