Anatomic Factors Associated with the Development of an Anterior Cruciate Ligament Rerupture in Men: A Case-Control Study
Abdulhamit Misir, MD, Erdal Uzun, MD, Gokhan Sayer, MD, Betul Guney, MD, and Ahmet Guney, MD
American Journal of Sports Medicine
https://pubmed.ncbi.nlm.nih.gov/36074046/
Background: Although several factors are associated with anterior cruciate ligament (ACL) rerupture, the effect of anatomic factors associated with ACL rupture on ACL rerupture development has not been evaluated.
Question: What are the individual anatomic parameters independently associated with ACL rerupture and what are the diagnostic values of these parameters?
Design: Case-control study; Level of evidence, 3.
Participants: A total of 91 male patients with ACL rerupture and 182 age-, sex-, body mass index–, and side dominance–matched patients without rerupture who underwent ACL reconstruction with a 5-year follow-up were included.
Methods: In all, 35 parameters that were previously defined as risk factors for primary ACL rupture were compared between the 2 groups. Uni- and multivariate logistic regression models were created to evaluate independently associated factors. Receiver operating characteristic curve analysis was performed for independently associated parameters to predict sensitivity, specificity, and cutoff values.
Main Results:
- Notch shape index (P = .014), tibial proximal anteroposterior (AP) distance (TPAPD) (P < .001), lateral femoral condylar AP distance (LCAPD)/TPAPD ratio (P < .001), medial meniscal cartilage bone height (P < .001), and lateral meniscal bone angle (P = .004) were found to be significantly different between the 2 groups.
- Only the LCAPD/TPAPD ratio (P < .001) was found to be independently associated with ACL rerupture development. The LCAPD/TPAPD ratio revealed 78.9% sensitivity and 75.5% specificity for values above 1.52.

Measurement examples of main parameters. (A) Notch width (NW), eminence width (EW), notch height (NH), bicondylar width (BCW), and tibial plateau width (TPW). (B) Intercondylar notch angle–axial and lateral wall angle–axial. (C) Intercondylar notch angle–coronal, lateral wall angle–coronal, and coronal tibial slope. (D) Alpha angle and coronal tibial slope. (E) Medial tibial plateau depth (MTD), femoral condylar radius of curvature (FCRC), and tibial proximal radius of curvature (TPRC). (F) Lateral femoral condylar ratio, lateral femoral condyle flattening, lateral tibial slope (LTS), and medial tibial slope (MTS). (G) Anterior cruciate ligament (ACL) graft volume. (H) Lateral femoral condylar anteroposterior distance (LCAPD) and tibial proximal anteroposterior distance (TPAPD). (I) Meniscal cartilage angle, cartilage bone height (CBH), meniscal bone angle (MBA), meniscal cartilage angle (MCA), and meniscal cartilage height (MCH).
Conclusion: The LCAPD/TPAPD ratio can be used to distinguish patients who are at risk of developing ACL rerupture from patients who are not. In the clinical practice, findings of this study may help to develop surgical and nonsurgical preventive strategies in ACL rerupture development.
Senior editorial comment:
Interesting work with several measurements. Comparison with patient BMI could be useful as bone dimensions vary among patients and races. Major limitation of retrospective assessment like this is the lack of evidence of correlation with preceding events and repeated force energies leading to re-tears.
Teaching point-
- One can quickly measure the LCAAPD/TPAPD ratio and have an idea about the potential for rerupture.
- Important parameters in ACL related injuries and assessment for treatment will include:
- Notch width (NW), eminence width (EW), notch height (NH), bicondylar width (BCW), and tibial plateau width (TPW)
- Intercondylar notch angle–coronal, lateral wall angle–coronal, and coronal tibial slope
- Alpha angle and coronal tibial slope
- Medial tibial plateau depth (MTD), femoral condylar radius of curvature (FCRC), and tibial proximal radius of curvature (TPRC).
- Lateral femoral condylar ratio, lateral femoral condyle flattening, lateral tibial slope (LTS), and medial tibial slope (MTS)
- Lateral femoral condylar anteroposterior distance (LCAPD) and tibial proximal anteroposterior distance (TPAPD)
Microfragmented Adipose Tissue Versus Platelet-Rich Plasma for the Treatment of Knee Osteoarthritis: A Prospective Randomized Controlled Trial at 2-Year Follow-up
Stefano Zaffagnini, MD, Prof., Luca Andriolo, MD, Angelo Boffa, MD, Alberto Poggi, MD, Annarita Cenacchi, MD, Maurizio Busacca, MD, Elizaveta Kon, MD, Prof., Giuseppe Filardo, MD, PhD, MBA, Prof., and Alessandro Di Martino, MD
American Journal of Sports Medicine
https://pubmed.ncbi.nlm.nih.gov/35984721/
Background: Intra-articular microfragmented adipose tissue (MF-AT) injections have been proposed for the treatment of knee osteoarthritis (OA).
Question: What is the clinical outcome in terms of OA progression after an intra-articular injection of MF-AT or platelet-rich plasma (PRP)?
Design: Randomized controlled trial; Level of evidence, 1.
Participants: A total of 118 patients with symptomatic knee OA were randomized to receive a single intra-articular injection of MF-AT or PRP.
Methods: Patients were evaluated before the injection and at 1, 3, 6, 12, and 24 months with the International Knee Documentation Committee (IKDC) subjective score, Knee injury and Osteoarthritis Outcome Score (KOOS) subscales, EuroQol visual analogue scale (EQ-VAS), EuroQol 5 dimensions (EQ-5D), and visual analogue scale (VAS) for pain. Primary outcomes were the IKDC subjective score and the KOOS pain subscore at 6 months. Knees were evaluated at baseline and at 6, 12, and 24 months with radiography and high-resolution magnetic resonance imaging (MRI) using the Whole-Organ Magnetic Resonance Imaging Score (WORMS). The imaging evaluation was performed by an independent investigator, an experienced musculoskeletal radiologist, who blindly assessed and reviewed the images (M.B.). OA severity was assessed by evaluating radiographs with Kellgren-Lawrence grading. The Whole-Organ Magnetic Resonance Imaging Score (WORMS) was used to assess 7 features of the treated knees on MRI: articular cartilage morphology, bone marrow edema, subchondral cysts, articular profile, marginal osteophytes, meniscal integrity, and synovitis.
Main Results:
- Both MF-AT and PRP provided a statistically and clinically significant improvement up to 24 months.
- No differences were found between the MF-AT and PRP groups in terms of clinical outcomes, adverse events (18.9% and 10.9%, respectively), and failures (15.1% and 25.5%, respectively).
- Radiographic and MRI findings did not show changes after the injection.
- As a secondary outcome, more patients in the MF-AT group with moderate/severe OA reached the minimal clinically important difference for the IKDC score at 6 months compared with the PRP group (75.0% vs 34.6%, respectively; P = .005).
Conclusion: A single intra-articular injection of MF-AT was not superior to PRP, with comparable low numbers of failures and adverse events and without disease progression. No differences were found in clinical and imaging results between the 2 biological approaches.
Senior editorial comment:
With lack of real stem cells for injections- PRP, hyaluronic acid, steroids, etc. have been tried in different reports. This article reports another compound. A randomized controlled trial is needed for relative efficacy of these agents before insurance would cover such compounds.
Teaching points-
- Residents should have an idea of the different scoring systems both on radiographs and MRI for OA.
- Additionally, since many new compounds have been tried for treatment, residents should be aware of the compounds as well as the techniques used.
- PRP and biologics can be considered and are being performed for treatment of OA.
Role of Thigh Muscle Changes in Knee Osteoarthritis Outcomes: Osteoarthritis Initiative Data
Bahram Mohajer , Mahsa Dolatshahi, Kamyar Moradi, Nima Najafzadeh, John Eng, Bashir Zikria, Mei Wan, Xu Cao, Frank W. Roemer, Ali Guermazi, Shadpour Demehri
Radiology
https://pubmed.ncbi.nlm.nih.gov/35727152/
Background: Longitudinal data on the association of quantitative thigh muscle MRI markers with knee osteoarthritis (KOA) outcomes are scarce. These associations are of clinical importance, with potential use for thigh muscle–directed disease-modifying interventions.
Question: To measure KOA-associated longitudinal changes in MRI-derived muscle cross-sectional area (CSA) and adipose tissue and their association with downstream symptom worsening and knee replacement (KR).
Design: Secondary analysis of prospective cohort.
Participants: 4634 knees of participants with available good-quality thigh MRI scans at baseline and at least one follow-up visit were included
Methods: In a secondary analysis of the Osteoarthritis Initiative multicenter prospective cohort (February 2004 through October 2015), knees of participants with available good-quality thigh MRI scans at baseline and at least one follow-up visit were included and classified as with and without KOA according to baseline radiographic Kellgren-Lawrence grade of 2 or higher and matched for confounders with use of propensity score matching. An automated deep learning model for thigh MRI two-dimensional segmentation was developed and tested. Markers of muscle CSA and intramuscular adipose tissue (intra-MAT) were measured at baseline and 2nd- and 4th-year follow-up (period 1) and compared between knees with and without KOA by using linear mixed-effect regression models. Furthermore, in knees with KOA, the association of period 1 changes in muscle markers with risk of KR (Cox proportional hazards) and symptom worsening (mixed-effect models) during the 4th to 9th year (period 2) was evaluated.
Main Results:
- In a secondary analysis of 4634 propensity score–matched thighs from the Osteoarthritis Initiative prospective study, longitudinal deep learning analysis of thigh MRI scans showed a larger decrease in quadriceps cross-sectional area (CSA) (−8.21 mm2/year; P = .004) and increase in quadriceps intramuscular adipose tissue (intra-MAT) (1.98 mm2/year; P = .007) in thighs of knees with baseline osteoarthritis than those without.
- A decrease in quadriceps CSA and increase in intra-MAT were negatively and positively associated, respectively, with downstream symptom worsening (odds ratio for CSA, 0.24 [P < .001]; odds ratio for intra-MAT, 1.38 [P = .012]) and knee replacement risk (CSA only, hazard ratio: 0.70; P < .001).

Conclusion: Knee osteoarthritis was associated with longitudinal MRI-derived decreased quadriceps cross-sectional area and increased intramuscular adipose tissue. These potentially modifiable risk factors were predictive of downstream symptom worsening and knee replacement.
Senior editorial comment:
Novel work scientifically showing what we know- how muscle weakening occurs with aging and OA and contributes to symptom worsening. Congratulations!
Teaching points-
- Intramuscular adipose tissue and muscles atrophy increase as degeneration of the knee worsens.
- Muscle tone and strength are important for the health of any joint, including the knee.
MRI-based Texture Analysis of Infrapatellar Fat Pad to Predict Knee Osteoarthritis Incidence
Jia Li, Shuai Fu, Ze Gong, Zhaohua Zhu, Dong Zeng, Peihua Cao, Ting Lin, Tianyu Chen, Xiaoshuai Wang, Richard Lartey, C. Kent Kwoh, Ali Guermazi, Frank W. Roemer, David J. Hunter, Jianhua Ma, Changhai Ding
Radiology
https://pubmed.ncbi.nlm.nih.gov/35638929/
Background: Infrapatellar fat pad (IPFP) quality has been implicated as a marker for predicting knee osteoarthritis (KOA); however, no valid quantification for subtle IPFP abnormalities has been established.
Question: Can MRI-based three-dimensional texture analysis of IPFP abnormalities help predict incident radiographic KOA?
Design: Prospective nested case-control study.
Participants: 690 participants whose knees were at risk for KOA were included from the Pivotal Osteoarthritis Initiative MRI Analyses incident osteoarthritis cohort.
Methods: All knees had a Kellgren-Lawrence grade of 1 or less at baseline. During the 4-year follow-up, case participants were matched 1:1 to control participants, with incident radiographic KOA as the outcome. MRI scans were segmented at the incident time point of KOA (hereafter, P0), 1 year before P0 (hereafter, P-1), and baseline. MRI-based three-dimensional texture analysis was performed to extract IPFP texture features. Heterogeneous signal alterations of a specific region on the normal background was considered to indicate pathologic changes of the IPFP. Least absolute shrinkage and selection operator and multivariable logistic regressions were applied in the development cohort and evaluated in the test cohort. The area under the receiver operating characteristic curve (AUC) was used to evaluate the discriminative value of the clinical score, IPFP texture score, and MRI Osteoarthritis Knee Score.
Main Results:
- MRI-based infrapatellar fat pad (IPFP) texture scores (area under the receiver operating characteristic curve [AUC] ≥0.75) showed greater discrimination (P ≤ .002) for knee osteoarthritis incidence than clinical scores (AUC ≤0.69) in both the development and test cohorts.
- IPFP texture scores also demonstrated a greater discrimination for incident knee osteoarthritis compared with MRI Osteoarthritis Knee Scores (AUC ≥0.75 vs AUC ≤0.66; P < .001).

Conclusion: MRI-based three-dimensional texture of the infrapatellar fat pad was associated with future development of knee osteoarthritis.
Senior editorial comment:
Interesting work but no clear clinical relevance. Hoffa’s fat pad can appear different due to a number of causes- shearing injury, plica sprains, knee synovitis, and scarring among other causes. It is interesting that Radiology publishes such articles and how they would change the management, seems unclear.
Teaching point:
- There are various causes of Hoffa’s fat pad signal abnormality and this area should be evaluated while reading knee MRs
Intraarticular Steroid Injection in Hip and Knee with Fluoroscopic Guidance: Reassessing Safety
Dimitri N. Graf , Anne Thallinger, Veronika Zubler, Reto Sutter
Radiology
https://pubmed.ncbi.nlm.nih.gov/35536136/
Background: Intraarticular corticosteroid (IACS) injections are frequently performed for hip and knee osteoarthritis (OA); however, there are conflicting data about the benefits and complications of IACS injections and a lack of large studies with follow-up.
Question: What is the complication rate after hip and knee IACS injections?
Design: Retrospective study
Methods: This retrospective single-center case series included patients who received a corticosteroid injection in the hip (n = 500) or knee (n = 500) and who underwent clinical and radiologic follow-up (conventional radiography, fluoroscopy, CT, or MRI) between 1 and 12 months after injection (January 2016 to May 2020). General descriptive statistics and the χ2 test were applied. P < .05 was indicative of a significant difference.
Results: Of the 1000 patients (mean age, 57 years ± 16 [SD]; 545 women), 10 patients (1%) developed severe complications. Four patients developed osteonecrosis; three, insufficiency fractures; and three, rapid progressive OA. All 10 complications occurred between 2 and 9 months after injection: six (60%) in the hip and four (40%) in the knee. Of the included 1000 patients, 545 (54%) were women, but they had nine of the 10 (90%) complications (P = .02).

Conclusion: Intraarticular steroid injection had a substantially lower complication rate than that reported in previous smaller studies. The rate of severe complications was disproportionally higher in women than in men.
Senior editorial comment:
Very useful work. This small frequency of complications (1%) doesn’t justify change in current approach of injections with clear pain and functional benefits. Such complications may also be due to other patient factors, rather than steroids itself. Thanks!
Teaching points-
- As is well-known, steroid joint injections can cause complications albeit in very small percentage of patients as has been shown in this article. Risk benefit should always be considered before any injection.
- Steroid injections are a common practice to treat osteoarthritis.
Dual-Energy CT and Cinematic Rendering to Improve Assessment of Pelvic Fracture Instability
Theresa J. Yu, Abdulai Bangura, Uttam Bodanapally, Jason Nascone, Robert O’Toole, Yuanyuan Liang, David Dreizin
Radiology
https://pubmed.ncbi.nlm.nih.gov/35438566/
Background: Grading of pelvic fracture instability is challenging in patients with pelvic binders. Dual-energy CT (DECT) and cinematic rendering can provide ancillary information regarding osteoligamentous integrity, but the utility of these tools remains unknown.
Question: Does DECT and cinematic rendering have any added diagnostic value for discriminating any instability and translational instability in patients with pelvic binders compared to single energy CT (SECT)?
Design: Retrospective study
Participants: Consecutive fifty-four (mean age, 41 years ± 16 [SD]; 41 men) adult patients (age ≥18 years) stabilized with pelvic binders and scanned in dual-energy mode using a 128-section CT scanner at one level I trauma center between August 2016 and January 2019 were retrospectively analyzed.
Methods: Young-Burgess grading by orthopedists served as the reference standard. Two radiologists performed blinded consensus grading with the Young-Burgess system in three reading sessions (session 1, SECT; session 2, SECT plus DECT; session 3, SECT plus DECT and cinematic rendering). Lateral compression (LC) type 1 (LC-1) and anteroposterior compression (APC) type 1 (APC-1) injuries were considered stable; LC type 2 and APC type 2, rotationally unstable; and LC type 3, APC type 3, and vertical shear, translationally unstable. Diagnostic performance for any instability and translational instability was compared between reading sessions using the McNemar and DeLong tests. Radiologist agreement with the orthopedic reference standard was calculated with the weighted κ statistic.
Main Results: Diagnostic performance was greater with SECT plus DECT and cinematic rendering compared with SECT alone for any instability, with an area under the receiver operating characteristic curve (AUC) of 0.67 for SECT alone and 0.82 for SECT plus DECT and cinematic rendering (P = .04); for translational instability, the AUCs were 0.80 for SECT alone and 0.95 for SECT plus DECT and cinematic rendering (P = .01). For any instability, corresponding sensitivities were 61% for SECT alone and 86% for SECT plus DECT and cinematic rendering (P < .001). The corresponding specificities were 72% and 78%, respectively (P > .99). Agreement (κ value) between radiologists and orthopedist reference standard improved from 0.44 to 0.76 for SECT versus the combination of SECT, DECT, and cinematic rendering.

Conclusion: Combined use of single-energy CT, dual-energy CT, and cinematic rendering improved instability assessment over that with single-energy CT alone.
Senior editorial comment:
Thanks for beautiful images and showing the power of cinematic and color rendering.
Teaching points-
- Newer techniques should be adopted as available for evaluation of these complex injuries.
- The 3D images have developed over the years to lead to more useful and part of diagnostic assessment of pathophysiology particularly of the musculoskeletal system.
Pilot study for treatment of symptomatic shoulder arthritis utilizing cooled radiofrequency ablation: a novel technique
Andrew Tran, David A. Reiter, Jan Fritz, Anna R. Cruz, Nickolas B. Reimer, Joseph D. Lamplot & Felix M. Gonzalez
Skeletal Radiology
https://pubmed.ncbi.nlm.nih.gov/35029737/
Background: A recently introduced actively investigated form of pain control is neurolysis, which disconnects pain signal transmission through local sensory nerve branches. One way to accomplish this is through thermal radiofrequency nerve ablation (TRFA). The two most common forms of TRFA are standard radiofrequency nerve ablation, which causes intralesional temperatures > 80 °C, and cooled radiofrequency nerve ablation (C-RFA), which uses a lower temperature of around 60 °C and delivers a larger ablation zone that can account for nerve variability in differing patient anatomies.
Question: Can cooled radiofrequency nerve ablation (C-RFA) be used as an alternative to managing symptomatically moderate to severe glenohumeral osteoarthritis (OA)?
Design: Prospective pilot study.
Participants: A total of 12 patients experiencing chronic shoulder pain from moderate to severe glenohumeral OA.
Methods: Patients underwent anesthetic blocks of the axillary, lateral pectoral, and suprascapular nerves to determine candidacy for C-RFA treatment. Adequate response after anesthetic block was over 50% immediate pain relief. Once patients were deemed candidates, they underwent C-RFA of the three nerves 2–3 weeks later. Treatment response was evaluated using the clinically validated American Shoulder and Elbow Surgeons (ASES) score and visual analog scale (VAS) to assess pain, stiffness, and functional activities of daily living. Follow-up outcome scores were collected up to 6 months after C-RFA procedure.
Main Results: Twelve patients underwent C-RFA procedure for shoulder OA. VAS scores significantly improved from 8.8 ± 0.6 to 2.2 ± 0.4 6 months after the C-RFA treatment (p < 0.001). Patient’s ASES score results significantly improved in total ASES from 17.2 ± 6.6 to 65.7 ± 5.9 (p < 0.0005). No major complications arose. No patients received re-treatment or underwent shoulder arthroplasty.

Illustrations show the respective sensory innervations around the shoulder: Posterior: (A) Suprascapular nerve branches course along the upper one-third of the glenoid and (B) axillary nerve branches which course along the region of the surgical neck and greater tuberosity. Anterior: (C) Pectoralis major sensory branch, which courses through the coracoid process
Conclusion: Image-guided axillary, lateral pectoral, and suprascapular nerve C-RFA has minimal complications and is a promising alternative to treat chronic shoulder pain and stiffness from glenohumeral arthritis.
Senior editorial comment:
This is small scale study but great work. Joint nerve ablations seem to be more promising and produce longer lasting responses just like knee or hip. May be CT imaging-guidance or cryoablations could further enhance the response rates.
Teaching points:
- Residents should be aware and of the techniques of RF ablation.
Selective MR neurography-guided anterior femoral cutaneous nerve blocks for diagnosing anterior thigh neuralgia: anatomy, technique, diagnostic performance, and patient-reported experiences
Danoob Dalili, Shivani Ahlawat, Amanda Isaac, Ali Rashidi & Jan Fritz
Skeletal Radiology
https://pubmed.ncbi.nlm.nih.gov/35150298/
Background: The clinical diagnosis of anterior femoral cutaneous nerve (AFCN) neuralgia can be challenging because symptoms may overlap with the sensory nerve territories of the lateral femoral cutaneous nerve, ilioinguinal nerve, iliohypogastric nerve, obturator nerve, saphenous nerve, their anatomic variations, and variably occurring anastomoses. Selective AFCN blocks can be used to test the hypothesis that the AFCN is the symptom-generating nerve. Ultrasonography guidance has been used for percutaneous AFCN blocks; however, it can be difficult to identify the AFCN on ultrasonography images with certainty. MRN provides high contrast resolution and a large field-of-view to identify the AFCN. In combination with procedural MRI guidance, interventional MRN promises accurate AFCN blocks through the ability to map the AFCN on procedural high-resolution MR images, from the femoral nerve to distal branching points in the proximal thigh, for selective targeting, needle guidance, and monitoring the distribution of the injectant around the AFCN.
Question: What is the clinical utility of selective magnetic resonance neurography-(MRN)-guided anterior femoral cutaneous nerve (AFCN) blocks for diagnosing anterior thigh neuralgia?
Design: Prospective study
Participants: Eighteen MRN-guided AFCN blocks (six unilateral and six bilateral blocks) were performed in 12 participants (6 women; age, 49 (30–65) years).
Methods: Following institutional review board approval and informed consent, participants with intractable anterior thigh pain and clinically suspected AFCN neuralgia were included. AFCN blocks were performed under MRN guidance using an anterior groin approach along the medial sartorius muscle margin. Outcome variables included AFCN identification on MRN, technical success of perineural drug delivery, rate of AFCN anesthesia, complications, total procedure time, patient-reported procedural experiences, rate of positive diagnostic AFCN blocks, and positive subsequent treatment rate.
Main Results: Successful MRN identified the AFCN, successful perineural drug delivery, and AFCN anesthesia was achieved in all thighs. No complications occurred. The total procedure time was 19 (10–28) min. Patient satisfaction and experience were high without adverse MRI effects. AFCN blocks identified the AFCN as the symptom generator in 16/18 (89%) cases, followed by 14/16 (88%) successful treatments.
Conclusion: Our results suggest that selective MR neurography-guided AFCN blocks effectively diagnose anterior femoral cutaneous neuralgia and are well-tolerated.
Senior editorial comment:
Thanks for interesting work. Small sample but novel work. Congratulations!
Teaching points-
- MRN continues to be the technique of choice for evaluating small nerves and now can be used as a guiding technique for interventional pain procedures.
A robust 3D fast spin-echo technique for fast examination of the brachial plexus
Daehyun Yoon, Neha Antil, Sandip Biswal & Amelie M. Lutz
Skeletal Radiology
https://pubmed.ncbi.nlm.nih.gov/35347408/
Background: In this work, a robust 3D FSE technique for the brachial plexus exam that incorporates the fast spin-echo triple-echo Dixon technique (fTED), the MSDE magnitude preparation, and the outer-volume suppression, which, respectively, provides robust fat–water separation, improved nerve-vessel distinction, and reduced scan time is presented.
Question: Is the MSDE-CUBE-fTED sequence equivalent to or better than standard 2D FSE sequences in the conventional clinical brachial plexus exam?
Methods: A 3D FSE sequence with motion-sensitized driven equilibrium magnitude preparation, triple-echo Dixon, and outer-volume suppression techniques, dubbed as MSDE-CUBE-fTED, was compared with clinical 2D T2-weighted and T1-weighted FSE sequences on the conventional brachial plexus exam of 14 volunteers. The resulting images were evaluated by two radiologists for fat suppression, blood flow suppression, nerve visualization, scalene muscle shape, surrounding fat planes, and diagnostic confidence. The inter-rater agreement of the reviewers was also measured. In addition, the signal magnitude ratios and contrast-to-noise ratios between nerve-to-vessel, nerve-to-muscle, and fat-to-muscle were compared.
Main Results: The MSDE-CUBE-fTED sequence scored significantly higher than the T2-weighed FSE sequence in all visualization categories (P < 0.05). Its score was not significantly different from that of the T1-weighted FSE in muscle and fat visualization (P ≥ 0.5). The inter-rater agreements were substantial (Gwet’s agreement coefficient ≥ 0.7). The signal magnitude and contrast ratios were significantly higher in the MSDE-CUBE-fTED sequence (P < 0.05).

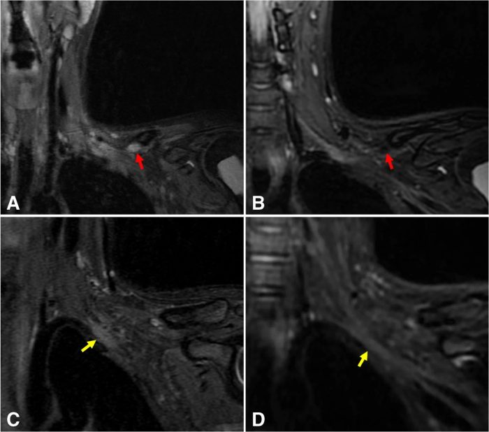
Improved suppression of blood vessel signal on the proposed sequence compared to T2w-FSE-FLEX. A T2w-FSE-FLEX and B MSDE-CUBE-fTED are from one subject, and C T2w-FSE-FLEX and D MSDE-CUBE-fTED are from another subject. For each case, the most comparable slices were chosen to mitigate the slight difference of the imaging axis and slice thickness between the two sequences. The signal from the suprascapular vein in the infraclavicular region (red arrows) is quite strong on the T2w-FSE-FLEX image (A), while it is well suppressed on the image of the MSDE-CUBE-fTED sequence (B, red arrow). On the T2w-FSE-FLEX image (C), adjacent subclavian vessel walls are often difficult to separate from the brachial plexus structures (yellow arrow), whereas on the image of the MSDE-CUBE-fTED sequence (D, yellow arrow), this does not pose a problem due to the robust vessel signal suppression and thinner slice thickness, reducing partial volume effects
Conclusion: Our results suggest that the MSDE-CUBE-fTED sequence can make a potential alternative to standard T2- and T1-weighted FSE sequences for examining the brachial plexus.
Senior editorial comment:
3D MR imaging is the best sequence for high-resolution MRN and similar to 3D Dixon previously published with homodyne reconstruction, this sequence is also novel. Congratulations!
Teaching points:
- 3D advanced MRI imaging has matured and likely become mainstream imaging sequences.
The concept of ring of injuries: evaluation in ankle trauma
Caroline Nicolai, Guillaume Bierry, Marie Faruch-Bilfeld, Nicolas Sans & Thibault Willaume
Skeletal Radiology
https://pubmed.ncbi.nlm.nih.gov/35501494/
Background: Radiographs are first-line imaging in ankle trauma but lack sensitivity to detect ligamentous injuries and undisplaced fractures. Our hypothesis was that ankle injuries occur in predefined sequences along two osteoligamentous rings, so that occult injuries non-visible on initial radiographs can be predicted. We, therefore, aimed to validate a ring model of progressive damages in the interpretation of ankle trauma radiographs.
After the experimental and clinical works of Lauge-Hansen, it is generally accepted that four main MOI exist in ankle trauma: foot supination/talus external rotation (SER), foot pronation/talus abduction (PAB), foot pronation/talus external rotation (PER), and foot supination/talus adduction (SAD). For each MOI, sequential and predictable damages to bony and ligamentous structures happen. This concept of progression worsening was the basis of the widely accepted Lauge-Hansen classification in which he proposed from 2 to 4 stages for each MOI (SER1–4; SAD1–2; PER1–4; PAB1–3). Lauge-Hansen also showed that each MOI induces a specific type of fibular fracture, so that the injuring mechanism can be deduced from it.

The concept of ring of progressive injuries. Each of the four mechanisms of injury is associated with a corresponding fibular fracture. In mechanisms with talus external rotation (SER, PER), injuries propagate along an axial osteoligamentous ring. In mechanisms with adduction or abduction of the talus (PAB, SAD), injuries propagate along a frontal osteoligamentous ring.
Design: Retrospective study
Participants: 277 adult patients that presented an acute fibular fracture on ankle radiographs between May and November 2019.
Methods: Four different types of fibula fracture were differentiated, each being considered to correspond to a different mechanism of injury. Patients were classified into four groups, upon the appearance of their fibular fracture. Then, injuries to the distal tibiofibular syndesmosis, medial malleolus, and deltoid ligament (medial clear space) were assessed in each patient radiographs. Traumatic injuries were independently evaluated by a resident and an experienced MSK radiologist. For each patient, observed features were compared to those predicted by the ring concept. Inter- and intraobserver agreements were calculated.
Main Results: Injuries were observed according to the predictable sequence in 266 of the 277 patients (96%). In the 11 remaining patients, discordances were presumably due to undisplaced injuries to the syndesmosis or deltoid ligament. Agreements were considered very good for each evaluated item.
Conclusion: The Lauge-Hansen ring concept was found to be highly accurate and reproducible for radiographic assessment of ankle injuries. Discordances to the predicted sequence might reflect occult injuries, especially of the syndesmosis or deltoid ligament.
Senior editorial comment:
It is important to learn Lauge-Hansen classification to assist the foot and ankle surgeons and podiatrists. Great work showing the reproducibility of interpretations using this classification among different experience levels.
Teaching point:
- As shown in the article, the differences in the fibular fractures can really help in understanding the concept of injury and understand the Lauge Hansen classification.
- Typically, radiology residents use the Weber classification, but really do need to understand the Laug`e Hansen classification well. The images in this article can really help.