[embedyt] https://www.youtube.com/watch?v=jUV3QhHJx1o[/embedyt]
CT Phantom Evaluation of 67,392 American College of Radiology Accreditation Examinations: Implications for Opportunistic Screening of Osteoporosis Using CT
Robert D. Boutin, MD, Andrew M. Hernandez, PhD, Leon Lenchik, MD, J. Anthony Seibert, PhD, Dustin A. Gress, MS and John M. Boone, PhD
American Journal of Roentgenology
https://www.ajronline.org/doi/abs/10.2214/AJR.20.22943
Background: The use of CT to screen for osteoporosis is possible because of wider availability of software for automated bone attenuation measurements and normative bone attenuation values from large cohorts. The impact of CT scanner calibration and inconsistency of attenuation measurements across different CT manufacturers makes standardization of technical factors used for CT evaluation of bone difficult. To establish the technical validity of a quantitative imaging biomarker, it is crucial to determine how a test performs with ground-truth reference objects under controlled conditions, including for determination of bias (systematic measurement error). In clinical practice, CT quality control is commonly assessed with a standardized imaging phantom containing known reference objects. The American College of Radiology (ACR) phantom contains embedded reference objects that allow assessment of several features, including attenuation. This phantom is widely used, and accreditation data are collected by the ACR for multiple CT manufacturers.
Questions: Is there a systematic bias in attenuation measurements among CT scanners made by different manufacturers? What is the relevance of this bias in the opportunistic screening for osteoporosis?
Design: Retrospective study
Inclusion criteria: Attenuation accuracy data (module 1) obtained between January 2011 and August 2018 using the ACR CT accreditation phantom (model 464, Gammex) were retrospectively evaluated to assess potential differences in attenuation measurements among four CT scanner manufacturers for the ACR adult abdominal CT protocol.
Methods: Data on attenuation measurement accuracy were acquired using the American College of Radiology (ACR) accreditation phantom and were evaluated in a blinded fashion for four CT manufacturers (8500 accreditation submissions for manufacturer A; 18,575 for manufacturer B; 8278 for manufacturer C; and 32,039 for manufacturer D). The attenuation value for water, acrylic (surrogate for trabecular bone), and Teflon (surrogate for cortical bone; Chemours) materials for an adult abdominal CT technique (120 kV, 240 mA, standard reconstruction algorithm) was used in the analysis. Differences in attenuation value across all manufacturers were assessed using the Kruskal-Wallis test followed by a post hoc test for pairwise comparisons.
Main Results: The mean attenuation value for water ranged from −0.3 to 2.7 HU, with highly significant differences among all manufacturers (p < 0.001). For the trabecular bone surrogate, differences in attenuation values across all manufacturers were also highly significant (p < 0.001), with mean values of 120.9 (SD, 3.5), 124.6 (3.3), 126.9 (4.4), and 123.9 (3.4) HU for manufacturers A, B, C, and D, respectively. For the cortical bone surrogate, differences in attenuation values across all manufacturers were also highly significant (p < 0.001), with mean values of 939.0 (14.2), 874.3 (13.3), 897.6 (11.3), and 912.7 (13.4) HU for manufacturers A, B, C, and D, respectively.
Conclusion: CT scanners made by different manufacturers show systematic offsets in attenuation measurement when compared with each other. Knowledge of these off-sets is useful for optimizing the accuracy of opportunistic diagnosis of osteoporosis.
Senior Editorial comments: Thanks for a useful work. The results will assist in better attention to quality controls and may help with respect to osteoporosis work during opportunistic screening using CT scans.
Take home message for trainees:
- CT scanning of various body parts can be used for evaluation of osteoporosis.
- Attenuation coefficients are used to evaluate for osteoporosis
- There are differences in various attenuation measurements between different vendors. A user should be aware of these variances, while taking into account the numbers for osteoporosis.
Low-Dose CT in Pelvic Imaging: Comparing Dose and Image Quality in Relation to Clinical Value in a Phantom Study
Carsten Hackenbroch, MD, Marius Feilhuber, MD, Daniel Halt, MD, Hans-Joachim Riesner, MD, Meinrad Beer, MD and Arthur Wunderlich, PhD
American Journal of Roentgenology
https://www.ajronline.org/doi/abs/10.2214/AJR.20.22907
Background: With conventional radiography, other bony structures in the image can make it difficult to evaluate the dorsal parts of the pelvic ring in particular. Definitive assessments of fracture consolidation or implanted internal fixation devices that are beginning to loosen are thus difficult to conduct. With CT, the dorsal pelvic ring can be visualized without being obscured by overlying bony structures. However, the radiation dose associated with established full-dose CT is multiple times greater than the dose of even a three-view radiographic examination. In this phantom study, the dose measurements, objective and subjective image quality, and figure-of-merit (FOM) calculations between conventional radiography and CT performed with and without tin filtering are compared, to determine the optimal imaging technique for examinations of the pelvis (assessing consolidation and dislocation control) and thereby improve patient management.
Questions: Can low-dose CT of the pelvis be performed using a dose similar to that used in a standard radiographic examination? Does CT have greater clinical value than radiography due to its better delineation of complex structures?
Methods: For dose comparison, an anthropomorphic phantom with 20 thermoluminescent dosimeters, two different CT scanners, and three conventional radiography devices were used. Seven CT protocols (including tin filtration) and four different radiographic examinations were performed. Dose calculations, objective and subjective evaluations of image quality, and figure-of-merit calculations were compared among the techniques. Furthermore, the images obtained were evaluated in a clinical context. Intraclass correlation was determined for the subjective results.
Main Results: The dose values of the tested low-dose CT protocols, in particular those using the tin filtration technique, corresponded to or were only slightly higher than the dose values of conventional pelvic radiographic images obtained in three views. Low-dose CT examinations were rated sufficient for consolidation control and had an informative value that was significantly higher than that of conventional radiography. Tin filtering showed the best results for low-dose CT in terms of combining dose and clinically relevant image quality.
Conclusion: In this phantom study, low-dose CT was superior to radiography for visualizing and evaluating the dorsal pelvic ring, with only marginally higher radiation exposure occurring when the latest-generation CT systems were used. Tin filtration can improve image quality, create further dose reductions, or provide both benefits.
Senior Editorial comments: This works highlights that using new CT techniques, the radiation dose is not far off from conventional radiography while keeping the advantages of 3-dimensional imaging. However, cost and scanner availability are other important considerations, and cost efficiency will likely improve in future for better patient care.
Take home message for trainees:
- Visualization of the dorsal pelvic ring requires high radiation dose on routine CT scanning
- An alternative for radiography is low-dose CT.
- Low-dose CT demonstrates superior capability of evaluation of the dorsal pelvic ring.
Differentiation of Vertebral Metastases From Focal Hematopoietic Marrow Depositions on MRI: Added Value of Proton Density Fat Fraction
Yongjun Jung, MD, Seong Woo Jeon, MD, Kyu-Sung Kwack, MD, PhD, Jae Sung Yun, MD, Han-Dong Lee, M and Sunghoon Park, MD
American Journal of Roentgenology
https://www.ajronline.org/doi/abs/10.2214/AJR.19.22698
Background: Profound hematopoietic bone marrow hyperplasia can produce signal intensity that is equal to or lower than that of muscle on T1-weighted images, which makes it difficult to differentiate it from malignant bone marrow lesions. Furthermore, focal nodular hyperplasia of red marrow, which represents an extreme pattern of focal hypertrophy of hematopoietic bone marrow, may show uptake on PET/CT, mimicking bone metastasis. Chemical-shift encoding–based water-fat MRI is an emerging noninvasive method of assessing the proton density fat fraction (PDFF), which is a promising quantitative imaging method for estimating vertebral bone marrow fat concentration. It minimizes the influence of confounding factors via a low flip angle (to minimize T1 bias) and multiecho techniques to correct for T2* decay, and it has been used with a multipeak fat model to quantify the PDFF.
Questions: Will proton density fat fraction (PDFF) help in differentiating vertebral metastases from focal hematopoietic marrow depositions?
Design: Retrospective study
Participants: The study included 44 patients with 30 vertebral metastases and 14 focal hematopoietic marrow depositions who underwent spinal MRI.
Exclusion criteria: Multiplicity; a lesion too small for an ROI to be placed on a fat fraction map; a lesion accompanied by pathologic fractures, cortical destruction, epidural or soft-tissue masses, or a combination of any of these reasons; unsatisfactory image quality or the presence of an artifact; chemotherapy or radiation therapy having been received before MRI; or any combination of the aforementioned reasons.
Methods: The final diagnoses were based on histologic confirmation, follow-up MRI, or PET/CT. Two musculoskeletal radiologists with 1 and 15 years of experience independently interpreted both image sets (i.e., images from conventional MRI alone versus images from conventional MRI and PDFF combined). Using a 5-point scale, the readers scored their confidence in the malignancy of the vertebral lesions. The diagnostic performance (AUC) of the two image sets was assessed via ROC curve analyses. Sensitivities, specificities, and accuracies (for both image sets) were compared using the McNemar test. Kappa coefficients were calculated to assess interobserver agreement.
Main Results: Both readers showed improved diagnostic performance after PDFF was added (AUC, 0.840–0.912 and 0.805–0.895 for readers 1 and 2, respectively). However, adding PDFF did not significantly improve the sensitivity and specificity of either reader (p > .05). Interobserver agreement significantly improved from moderate (κ = 0.563) to excellent (κ = 0.947) after PDFF was added.
Conclusion: The addition of PDFF to a conventional MRI protocol improved the diagnostic performance for differentiating vertebral metastases from focal hematopoietic marrow depositions but without resulting in significant improvement in sensitivity and specificity.
Senior Editorial comments: Chemical shift imaging is very useful to improve the accuracy of malignant versus hematopoietic marrow with improved reader confidence and this article nicely highlights the value of the quantitative assessment of the two commonly encountered marrow processes.
Take home message for trainees:
- Profound hematopoietic bone marrow hyperplasia can be confusing when evaluating for malignant bone lesions.
- Proton-density fat fraction (PDFF) imaging of the spine does help with differentiating vertebral metastasis from hematopoietic marrow.
- Diagnostic performance improves with addition of PDFF, but no improvement in sensitivity and specificity.
Whole-Body Low-Dose CT in Multiple Myeloma: Diagnostic Value of Appendicular Medullary Patterns of Attenuation
Vassilis Koutoulidis, MD, Evangelos Terpos, MD, Ioanna Klapa, MD, George Cheliotis, MSc, Ioannis Ntanasis-Stathopoulos, MD, Andriani Boultadaki, MD, Maria Gavriatopoulou, MD, Efstathios Kastritis, MD, Meletios A. Dimopoulos, MD and Lia A. Moulopoulos, MD
American Journal of Roentgenology
https://www.ajronline.org/doi/abs/10.2214/AJR.20.23204?mobileUi=0
Background: Compared with conventional radiographs, whole-body low-dose CT is much more sensitive for detection of osteolysis in patients with MM, is less time-consuming, and causes much less discomfort, especially to patients who experience pain as a result of osteolytic lesions, fractures, impingement on neural structures, or a combination thereof. In spacious medullary spaces such as the medullary cavities of the proximal appendicular skeleton, hyperattenuating soft tissue, either in the form of discrete focal nodules or diffuse infiltration, may be present. It is presumed that such hyperattenuation may often represent myeloma deposits, although it is very difficult to test this hypothesis by biopsy. Peripheral medullary lesions are considered positive for myeloma by whole-body MRI and PET/CT if they fulfill certain criteria such as restricted diffusivity and hypermetabolism, respectively.
Questions: What are the appendicular medullary patterns of attenuation seen with whole-body low-dose CT in patients with newly diagnosed multiple myeloma? What is the diagnostic performance of whole-body low-dose CT in detecting diffuse marrow infiltration?
Design: Retrospective study
Participants: A total of 76 patients (mean age, 63.1 years; range, 37–86 years) including 42 men and 34 women.
Inclusion criteria: Newly diagnosed MM or SMM by standard criteria, imaging with whole-body low-dose CT and spinal MRI at initial assessment, and both imaging examinations performed within 21 days of each other and before the initiation of any treatment.
Methods: The medullary cavities of femurs and humeri were evaluated qualitatively and quantitatively on CT. Medullary attenuation and SD-to-mean attenuation ratio were recorded for each long bone. The pattern of marrow involvement on spinal MRI was used as reference. The chi-square test was used to evaluate the relationship between the CT-based appendicular medullary cavity pattern and the MRI pattern, and ROC analysis was performed to assess the diagnostic accuracy of CT attenuation measurements for the differentiation between diffuse and mixed CT-based appendicular medullary cavity patterns.
Main Results: Medullary attenuation differed significantly among mixed, nodular, and diffuse CT-based appendicular medullary cavity patterns in the femurs and humeri. To discriminate between diffuse and mixed CT-based appendicular medullary cavity patterns, optimal cutoff attenuation values were 63 HU for the femurs, and 52 HU for the humeri. A total of 24 of 30 (80.0%) patients with a diffuse MRI pattern showed a diffuse CT-based appendicular medullary cavity pattern on whole-body low-dose CT, and all patients with a diffuse CT-based appendicular medullary cavity pattern also showed a diffuse pattern on MRI.
Conclusion: According to analysis of peripheral medullary patterns of attenuation, whole-body low-dose CT can identify patients with multiple myeloma with diffuse marrow involvement.
Senior Editorial comments: Medullary increased density remains a challenge on whole body CT to differentiate red marrow reconversion from malignancy. This work is valuable and dual energy CT in future may further advance knowledge in this domain, Since, attenuation measurements, unless corrected with Phantom studies, can have in accuracies. Comparison with a concurrent MRI was a strong point of the study.
Take home message for trainees:
- Compared to conventional radiographs of the entire body, whole body low-dose CT is more sensitive for detection of osteolysis in patients with multiple myeloma.
- Medullary patterns of attenuation in low-dose CT of the entire body can help identify diffuse marrow involvement in patients with multiple myeloma
MRI Criteria for Meniscal Ramp Lesions of the Knee in Children With Anterior Cruciate Ligament Tears
Jie C. Nguyen, MD, MS, Joshua T. Bram, BS, J. Todd R. Lawrence, MD, PhD, Shijie Hong, BS, Tomasina M. Leska, BS, Theodore J. Ganley, MD and Victor Ho-Fung, MD
American Journal of Roentgenology
https://www.ajronline.org/doi/abs/10.2214/AJR.20.23389
Background: Meniscal ramp lesions have been defined as longitudinal vertical peripheral tears of the medial meniscus involving the posterior meniscocapsular ligament, meniscotibial ligament, and/or the red-red zone of the posterior horn.
Many case series that have included mostly adult patients demonstrate that a variety of MRI findings including meniscocapsular separation with or without fluid-like signal intensity, peripheral irregularity or a tear involving the posterior horn of the medial meniscus, and posteromedial tibial plateau marrow edema can be used to identify ramp lesions. The only published report on children with ramp lesions found preoperative MRI to be 23% sensitive for identifying meniscocapsular injury. Moreover, MRI findings have not been systematically compared between children with arthroscopically confirmed ramp lesions and those with intact meniscocapsular junctions.

The first image shows far peripheral longitudinal meniscal tear on sagittal T2-weighted fat-suppressed image in an 18 year-old boy with anterior cruciate ligament–deficient knee. The second image shows a normal meniscocapsular junction in a 17 year-old girl. The arrow points towards a normal meniscocapsular recess.
Questions: What are the MRI findings associated with an arthroscopic diagnosis of meniscal ramp lesion in children with concomitant anterior cruciate ligament (ACL) tear?
Design: Retrospective study
Participants: 85 children who underwent a preoperative MRI examination and arthroscopically guided primary ACL reconstruction between June 1, 2017, and December 31, 2019.
Exclusion criteria: Patients were excluded if surgical notes did not explicitly report the integrity of the posteromedial meniscocapsular junction, if the patients had undergone prior ACL reconstruction, or if the preoperative MRI examinations had not been performed within 120 days before arthroscopy. Patients with syndromic or posttraumatic deformity, a history of infectious or inflammatory arthropathy, age older than 20 years, or incomplete or motion-degraded nondiagnostic MRI examinations were also excluded. MRI examinations that did not include at least one fluid-sensitive pulse sequence on both axial and sagittal imaging planes were also excluded.
Methods: Blinded to arthroscopic findings, two radiologists reviewed all MRI examinations and reached consensus on the presence or absence of an effusion and various findings within the medial and lateral tibiofemoral joints. Chi-square, Fisher exact, independent t, and Mann-Whitney U tests were used to compare MRI findings between patients with and without arthroscopically confirmed meniscal ramp lesions.
Results: At arthroscopy, 35 children had ramp lesions and 50 children had intact meniscocapsular junctions. Knees in which a ramp lesion was observed were significantly more likely to have MRI findings of a medial meniscus tear, peripheral meniscal irregularity, junctional T2-weighted signal, and a meniscocapsular ligament tear. No significant difference was found between children with and without ramp lesions with regard to the presence of an effusion or a lateral meniscus tear or the extent of medial and lateral tibial plateau marrow edema.
Conclusion: MRI findings associated with an arthroscopic diagnosis of meniscal ramp lesion include medial meniscus tear, peripheral meniscal irregularity, junctional fluidlike signal, and capsular ligament tear.
Senior Editorial comments: Thank you for your work. While these findings have been reported previously on 2D MRI images, in our experience, 3D imaging nicely shows the extent of the meniscocapsular injury and meniscal tears. Using isotropic 3D MR images reconstructed in the meniscal axial plane, the reader can also measure the length of the meniscal tear, which can be significantly underestimated on 2D imaging.
Take home message for trainees:
- RAMP lesions are associated with ACL injuries. These are meniscocapsular tears involving the posterior horn of the medial meniscus.
- Ramp lesions can also be seen in children.
- Beware of ramp lesions in knees demonstrating associated lesions: medial meniscus tear, peripheral meniscus irregularity, and capsular ligament tear.
Development of MRI-defined Structural Tissue Damage after Anterior Cruciate Ligament Injury over 5 Years: The KANON Study
Frank W. Roemer , L. Stefan Lohmander, Martin Englund, Ali Guermazi, Anna Åkesson, Richard Frobell
Radiology
https://pubs.rsna.org/doi/full/10.1148/radiol.2021202954
Background: MRI is used to evaluate structural joint changes after anterior cruciate ligament (ACL) injury, but no long-term data are available for comparing different treatment approaches.
Question: What is the frequency of structural tissue damage on MRI scans at 2 and 5 years for a nonsurgical versus a surgical treatment strategy in the Knee Anterior Cruciate Ligament, Nonsurgical versus Surgical Treatment (KANON) study?
Design: Secondary analysis of a prospective trial
Participants: 119 participants with an acute ACL injury were included. Participants were enrolled from 2002 through 2006, the 2-year follow-up started in 2008, and the 5-year follow-up started in 2011.
Methods: A 1.5-T MRI examination was performed at baseline and at 2- and 5-year follow-up. MRI scans were read according to a validated scoring instrument. Kruskal-Wallis tests were used to assess whether the frequencies of structural damage differed between the three as-treated groups.
Main Results: Of 119 participants, 91 men were evaluated. At 2- and 5-year follow-up, respectively, 13% and 13% of knees showed incident cartilage damage in the medial tibiofemoral joint, 11% and 17% of knees showed incident cartilage damage in the lateral tibiofemoral joint, and 4% and 8% of knees showed incident cartilage damage in the patellofemoral joint. Osteophyte development was seen in 23% and 29% of knees in the medial tibiofemoral joint, in 36% and 43% of knees in the lateral tibiofemoral joint, and in 35% and 37% of knees in the patellofemoral joint. No major differences between the groups were found for incident or worsening cartilage damage, bone marrow lesions, and osteophytes at 2 or 5 years. The rehabilitation-alone group showed less Hoffa-synovitis at 2 (P = .02) and 5 (P = .008) years.
Conclusion: Young adults with anterior cruciate ligament injury showed no major difference in frequency of structural tissue damage on MRI scans at 2 and 5 years regardless of treatment. However, the rehabilitation-alone group had less inflammation at 2 and 5 years.
Senior Editorial comments: Thank you for an interesting work. The follow-up appears short to mid-term but nonetheless, it is a good work to show that ACL reconstruction may preserve the knee cartilage integrity.
Take-home messages for trainees:
- ACL injuries lead to subsequent soft tissue abnormalities in the knee over time.
- Patients with post-ACL injuries, particular attention should be paid to cartilage appearances in the patellofemoral compartment and the weight-bearing areas, and also evaluate for synovitis and fat pad edema.
MRI-based Synthetic CT in the Detection of Structural Lesions in Patients with Suspected Sacroiliitis: Comparison with MRI
Lennart B. O. Jans, Min Chen, Dirk Elewaut, Filip Van den Bosch, Philippe Carron, Peggy Jacques,Ruth Wittoek, Jacob L. Jaremko, Nele Herregods
Radiology
https://pubs.rsna.org/doi/pdf/10.1148/radiol.2020201537
Background: Evaluation of structural lesions in the sacroiliac (SI) joints can improve the accuracy for diagnosis of spondyloarthritis. However, structural lesions, such as erosions, are difficult to assess on routine T1-weighted MRI scans. The MRI-based Synthetic CT (sCT) is a deep learning–based technology, performing three-dimensional (3D) MRI to CT mapping and generating CT-like images from an axial 3D T1-weighted radiofrequency spoiled multiple gradient-echo (T1MGE) sequence.
Questions: What is the diagnostic performance of MRI-based synthetic CT (sCT) in the depiction of erosions, sclerosis, and ankylosis of the SI joints compared with T1-weighted MRI, with CT as the reference standard?
Design: Prospective study performed from February 2019 to November 2019.
Participants: Thirty participants were included (16 men, 14 women; mean age, 40 years ± 10 [standard deviation]).
Exclusion criteria: Exclusion criteria were pregnancy, metallic implants, contraindications to MRI, and failure to complete the imaging examination
Methods: Adults were referred from a tertiary hospital rheumatology outpatient clinic with clinical suspicion of inflammatory sacroiliitis. MRI and CT of the SI joints were performed on the same day. SCT images were generated from MRI scans using a commercially available deep learning–based image synthesis method. Two readers independently recorded if structural lesions (erosions, sclerosis, and ankylosis) were present on T1-weighted MRI, sCT, and CT scans in different reading sessions, with readers blinded to clinical information and other images. Diagnostic performance of sCT and T1-weighted MRI scans were analyzed using generalized estimating equation models, with consensus results of CT as the reference standard.
Main Results: Diagnostic accuracy of sCT was higher than that of T1-weighted MRI for erosion, sclerosis, and ankylosis. With sCT, specificity for erosion detection and sensitivity for detection of sclerosis and ankylosis were improved.
Conclusion: With CT as the reference standard, synthetic CT of the sacroiliac joints has better diagnostic performance in the detection of structural lesions in individuals suspected of having sacroiliitis compared with routine T1-weighted MRI.
Senior Editorial comments: Thank you for a novel work. It validates the increasing utility of synthetic CT. While erosions may establish or assist the diagnosis of axial spondyloarthritis, one should still look for bone marrow edema or enhancement to identify disease activity for proper management of the patient.
Take-home messages for trainees:
- Structural changes (erosions) identified in the sacroiliac joints is an important component in the diagnosis of suspected sacroiliitis
- Synthetic CT re-constructed from MRI imaging improves the diagnosis of structural erosions in sacroiliac joints in patients with sacroiliitis.
Ulnar collateral ligament injuries of the first metacarpophalangeal joint: prevalence of associated injuries on radiographs and MRI
Sebastian Manneck, Filippo Del Grande & Anna Hirschmann
Skeletal Radiology
https://link.springer.com/article/10.1007%2Fs00256-020-03575-w
Background: The ulnar collateral ligament (UCL) is the primary stabilizer of the first metacarpophalangeal (MCP) joint during valgus stress. Injuries of the UCL typically occur as a result of hyperabduction. UCL tears most commonly occur at the distal insertion and the stump may be displaced. Surgical therapy is recommended if the displacement is more than 3 mm and required if the displacement is proximal to the adductor aponeurosis, also known as Stener lesion. A misdiagnosed or improperly treated injury may result in joint instability, leading to significant disability and pain and may provoke early osteoarthritis of the first MCP joint. The volar ligaments of the first MCP joint reinforce the volar capsule deep to the flexor tendon. Three components comprise the volar ligaments: the ulnar and radial checkrein ligaments, the ulnar and radial phalangoglenoid ligaments, and transverse intersesamoid fibers; the latter is also known as the volar plate.

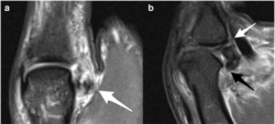
The white arrow in image (a) points to Stener lesion – the dislocated distal stump that is retracted proximally and wrapped around the adductor pollicis aponeurosis (yo-yo on a string appearance). Sagittal image demonstrates concomitant complete disruption of the volar ligaments, the checkrein (black arrow), and phalangoglenoid ligaments (white arrow).
Questions: Following acute ulnar collateral ligament (UCL) injuries, what is the prevalence of associated findings at the first metacarpophalangeal joint on radiographs and MRI?
Design: Retrospective study
Inclusion criteria: Patients with evidence of sprain or rupture of the UCL on MR images, a time interval of up to 6 weeks between radiographs and MRI, and imaging within 2 months of trauma were included in this study.
Exclusion criteria: Three patients were excluded due to the following reasons: two for having a time interval of more than 2 months between imaging and trauma, and one for insufficient image quality on MRI.
Participants: 25 patients with an injury of the UCL at MRI.
Methods: Presence of associated injuries to the volar ligaments (checkrein and phalangoglenoid ligaments and volar plate) was assessed on radiographs and MRI independently by two musculoskeletal radiologists. Wilcoxon signed-rank test was used to compare frequencies of injuries between both modalities (p < 0.05). Inter-reader variability was calculated.
Main Results: Complete tears of the UCL (48%/60%, reader 1/2) were more common than partial tears (24%/16%) on MRI. Dislocation of the UCL ≥ 3 mm was detected in 40%/56% on MRI. UCL avulsion fractures were more frequently seen on MRI (28%) compared with radiographs (12%) for reader 1. Associated avulsion injuries of the phalangoglenoid ligament were evident in 12%/8% on radiographs and in 80%/76% on MRI. Almost all patients (100%/79%) with a dislocated UCL tear showed a concomitant volar ligament injury; and even two-thirds (66%/72%) of the non-displaced UCL tears had an injury to the volar ligaments. Inter-reader agreement was moderate to excellent (κ = 0.60–1.0).
Conclusion: UCL tears are often associated with volar ligament injuries, even in lesser degrees of an UCL injury.
Senior Editorial comments: Thank you for the interesting work. It would be more interesting in future to correlate such injuries with joint malalignment, Stener lesion development, surgical findings, or their impact on patient outcomes.
Take-home messages for trainees:
- Ulnar collateral ligament is the primary stabilizer of valgus force at the first MCP joint.
- A complex group of volar ligaments maintain stability of the UCL – checkrein and phalangoglenoid ligaments and volar plate ligaments
- Injuries of the UCL also involve the volar complex ligaments, so please evaluate the volar complex.